Saturday 25th of July 2015 is a day that will live in infamy for me. The day started early but not particularly bright with Cindy and me meeting the Warrego riders group in Toowoomba, for a planned weekend trip led by Luke Buenen and Dave Pidcock via mainly dirt roads down to Grafton. It had rained fairly heavily overnight although it had mainly cleared up, and some concern was raised in the comforting environment of the service station about how greasy some of the dirt roads might be. Inspection of our mainly-road Triumph Tiger XCx and BMW 700GS tyres did little to inspire confidence for the expected gnarly off-road sections. However, the anticipated rewards of seeing some great country over the following two days was at the forefront, so with the traditional whispering under the breath of “toughen up, Princess” the nerves were sufficiently blocked out to commence the ride.
It is said that the road to hell is paved with good intentions, but in fact it is paved with Lockyer Valley mud. After a fun swoop from Toowoomba down the ranges via some good secondary roads, in half an hour we were out in the Lockyer Valley south of Gatton with the intent of working south east toward Aratula near Boonah, before the dirt roads across the border. The great thing about riding on bitumen is that grip is usually assured when making a slow right hand turn onto a smaller (but still bitumen) road, hence the very sudden slip of the bike and fall onto the road with an undignified 10 foot slide came as a complete surprise. The road surface in patches was as close to ice as it is possible to get in a sub-tropical climate, and even standing up was exciting. I tried to blame the traction control but training wheels were probably the only solution.
The riding group were very considerate getting the bike shiny side back up, and although I didn’t have a scratch (further confirmation that wearing the right gear is the only way to go) the pain in my right ankle didn’t quickly recede and I experienced the familiar feelings of shock which are rarely a good sign. A rider’s group conference chaired by Luke was held to assess the situation, during which it became clear that I was unlikely to be able to stand on the pegs for any length of time, although it seemed that I may still be able to ride. Cindy and I briefly entertained the thought of detaching from the group and going to Grafton via the main roads, however we decided a return back toward Brisbane was probably wise in case the ankle didn’t improve. The riding group, some now trying to make the sign of the cross while on a motorbike on a slippery road, waved us goodbye and continued south with promises to link up on Facebook for news updates.
By the time I had gotten over the shock and Cindy and I had turned the bikes around and headed off east it was becoming clear that home should be the immediate destination. Excluding of course a coffee stop in Tenthill Lower where the opportunity was taken to tighten a few loose things on the bike and wash down some painkillers. After about 2 hours of riding and avoiding any use of the rear brakes, we got home and I got the boot off, at which time it became clear that a trip to the Princess Alexandra hospital emergency was unavoidable.
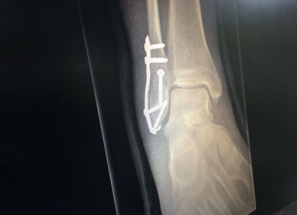
Saturday morning is a competitive time at hospitals due to swarms of junior sports victims, and in fact the three broken bone incidents I’ve experienced (motorbikes currently leading 2-1 over football, with football unlikely to make a comeback as we head into the last quarter) have all been on a Saturday. There was the inevitable long wait because I wasn’t going to die, although when it was my turn the treatment was very competent and the X-ray was conclusive; fractured right fibula. After a few days in plaster, another consultation at the outpatients resulted in surgery the following week to screw the broken bits back together.

I can only assume that the additional three stainless steel screws listed on the surgery manifest that were not in my ankle are now holding the surgeon’s GPS onto the console of his new yacht.
Then commenced the healing process using a recognised method called the useless whinging spouse treatment, it is proven to heal bones faster if someone drives you everywhere you want to go, brings you food and wine, and allows you to watch whatever you want on TV while you complain about everything. Crutches getting in the way and falling over and hitting things, while you make pointed remarks about how unhelpful able-bodied people are just add to the inconvenience for all those around you.
A mere 6½ weeks after the day of infamy, and 5 weeks after the structural fix, the annoying fibreglass boot was removed and the X-rays showed that healing had been achieved. The fibreglass non-weight bearing boot was replaced by a walker fracture boot, however this was only in service for 4 hours before tests clearly showed that it couldn’t safely be used on a standard Triumph brake lever, so was abandoned. The withered state of the leg was a concern, so with a second level Simon Pavey off-road skills training course planned for late October 2015, it was off to the physio for some exercises to try to fatten the calf.
A work trip to Salt Lake City had been delayed due to the break and was re-scheduled for the moment the leg was deemed ready to go. With 14 hours on a plane to Los Angeles, the fear of deep vein thrombosis was at the forefront, so south-east Queensland chemists were trawled for some interesting support stockings and packs of aspirin to keep the blood thin and away from the problem ankle. The trip was originally for two full weeks, however this was cut to 10 days including one weekend. Just in case it was cold while I was there I threw in a motorcycle jacket and gloves, and motorcycle boots were added just to help the support stockings.
The trip reiterated the eleventh commandment that Moses misplaced coming down the mountain; thou shalt not transfer from domestic to international at Sydney airport. With a seemingly healthy 2½ hours not really enough time without the ability to sprint, I barely made it as practically the last on the plane, and luckily the bag did too.
I had been twice to the USA and had seen a fair bit of the southern states and the north east, however knew absolutely nothing about Utah or Salt Lake City. As Cindy and I had lived in the dry south eastern goldfields in WA, and in fact I had once gotten a motorcycle severely bogged in a salt lake at Norseman, I assumed that Salt Lake City must be surrounded by deserts. Why else would there be a salt lake? To my surprise on arrival it was cold and raining, and there was little sign of a desert. The city of about one million people is in a flat valley surrounded by mountains, including some high ones in the east which are famous for powder snow, and were the home of the 2002 winter Olympics. Salt Lake City is arguably most famous for being the home of the Mormons, and although there are still a few oddities in the liquor licensing laws, in general it is appeared to be a very clean and apparently safe and pleasant environment, and probably the last place you would ever be door knocked.

On the first day at work, I discovered that a colleague was a keen rider, and he revealed that Utah was the home of some of the country’s best motorcycle roads. With a mere two days to organise the weekend, work was mainly abandoned while a bike was organised and options for a two day ride workshopped with advice from the Utah residents. The motorcycleroads.com website was useful although there were so many options it was a bit daunting making a decision. My colleague broke the nexus by strongly suggesting route 12 which is the Grand Staircase Escalante National Monument tour which he had done with friends on the inevitable Harleys.
A quick view of hotel websites suggested it was going to be ugly as it was one of the final weekends of the non-snow season, but I luckily managed to snag a room just outside the start of route 12 near Bryce Canyon. Obviously the hire bike selection is most important, but in this case it was the easiest part of the planning. There are a lot of options for motorcycle hire in the USA, and you can have any bike you want as long as it is a Harley. Luckily I stumbled across a more adventure-oriented hire opportunity through Great Rides Utah, who have a fleet of DR650’s, a Triumph Tiger XC, and BMW F800GS’s.
Naturally as a Triumph Tiger 800XCx rider my first option was the Tiger XC, not because I don’t like BMW’s, but I was a little worried about the elevated seat height on the F800GS given my delicate ankle condition. Rafael at Great Rides soon resolved the issue by telling me the Tiger was in the workshop with a problem, which didn’t sound plausible, but the decision was made with the BMW the choice.
I am sure anyone coming off a motorcycle and breaking bones gets a bit nervous when getting back on again for the first time. When I broke 4 ribs in a high side incident on a DR450 at Rainbow Beach in 2012 (nice birthday present Cindy), the next time I rode on sand I was seriously scared. It didn’t help this time that I was organising to ride in a country on the wrong side of the road on my own. If something happened, I just assumed 911 would be the best bet, at least they have good mobile coverage in the USA. The weekend weather forecast indicated it be as close to perfect as it could be; cool mornings and warm afternoons on both days.
On Saturday morning, 19th September 2015 at 8am, exactly 8 weeks after the Lockyer Valley mud incident, I arrived at Great Rides Utah to meet Rafael and collect the bike. Helmets are not mandatory in Utah, but with my confidence already very delicate, not having one wasn’t going to meet my low risk approach. Fortunately Rafael also hired all the key gear, which included a GPS. The bike induction and the paperwork was completed in less time and less angst than it takes to get a beer in a Salt Lake City bar, and with the GPS set for somewhere down south I was on my way.

First step was to get through the Salt Lake City traffic and out onto the freeway. The GPS took all the navigation pressure away, and the height of the 800GS wasn’t as bad as the spec sheet led me to believe and lose two nights sleep over. As I was riding on the right (wrong) side of the road, I chanted the “clutch to the centre” mantra over and over, but there really wasn’t much trouble as the light traffic was there to orientate me. The freeway was a bit like a wider and faster version of our QLD benchmark the Bruce Highway, and with no recognition of fast and slow lanes and wild lane changing I almost felt at home.
The first bit of excitement didn’t take long, at 80mph (130kph) things happen very quickly and the car in front of me suddenly changed lanes. My eyes naturally followed the car, then snapped back to the road as what appeared to be a wooden pallet suddenly appeared in my lane. One of those OM (insert name of your favourite deity here) moments was partially calmed by the fact that the pallet was moving in the wind. I tried to avoid it, but just clipped the corner, fortunately with absolutely no deviation of the combined 300kg bike and rider. A glance in the rear view mirror and the snow storm of foam confirmed the material I’d hit, and suddenly and strangely my confidence was back; I had an incident and survived. Not that I didn’t give a glare to the driver of the ute further down the highway who had stopped because his foam pallets had come off.
The freeway became less and less laden with traffic the further south I went, however at 80mph the 800cc engine was not fuel efficient and the gauge went down very quickly, so a fuel top-up was required at the first stop at Levan, a mere 95 miles from Salt Lake City. Getting fuel aka gas is fairly straightforward in the USA, but payment methods can be random. The confusion starts at the bowser, with the options “pay at the bowser” and “pay inside”. From experience, “pay at the bowser” is impossible unless you have a USA address and zip code attached to the card. The “pay inside” either allows Aussie-style fill and then pay, or else requires pre-payment for an unknown quantity of fuel that Nostradamus would be lucky to guess. Levan lulled me into a false state of security with a bog-standard Aussie fill up and then pay inside experience.
After another hour on the road, I decided it was time for lunch and Richfield seemed to be ideal timing. Finding good food is never a challenge in the USA, and a small café that had been frequented by celebrities including Stephen King and Tommie Lee Jones looked good. Presumably they had driven for a few hours out of Las Vegas before realising they were lost and hungry. The liver and onions was fantastic.

The GPS started to become a problem after Richfield. I decided to head east via secondary roads to go through more scenic country, but the GPS would not allow dragging the route onto something better and I couldn’t fix it with my limited skills. So I ignored it and decided it would come on board once I showed it that it was my way and not the highway. Not to be outdone, it relentlessly tried to put me onto roads that had taken the lives of mountain goats to get me back onto the way it wanted to go. Luckily it never became self-aware and tried to take over the bike.
The first stop out of Richfield to get a photo was my first riding challenge. The problem with a BMW GS and my Tiger is that they inspire the “I won’t bother getting off and walking up that nasty hill, I’ll just ride up” attitude, which led to a really ugly dirt and rocky track. However, the GS was so sure-footed that it got back onto the main road without even a minor worry. The confidence was coming back big-time.
The afternoon ride was down through some very pretty country, in particular the Otter Creek Reservoir valley to the south of Koosharem which added some dirt riding enjoyment. The highways in the USA are built to last and it is amazing to ride on completely deserted highways that are as smooth as a billiard table, particularly as it was one of the last weekends in the autumn when the weather was perfect – where were all the tourists and caravans?

Arrival in the town of Panguitch near the planned Saturday night venue created the second fuel stop opportunity. This time, the bowser was a pay inside first establishment, and I managed to achieve what Nostradamus couldn’t and guessed precisely the right amount of fuel required, no need to go back to the attendant. During the ride out of town to the hotel came the ultimate US traffic challenge – the four way stop signs intersection. This is the North American version of the roundabout, but the right of way depends upon a combination of arrival timing, ego, and ability to brazenly ignore other road users. Fortunately the fifteen cars at the intersection collectively hesitated in the aura of the BMW, allowing an unmolested left hand turn.
The hotel had beautiful views over toward the Bryce Canyon National Park, which promised good things for the following day. A dinner with domestic US beers, and then a few hours on the phone to update the bank who had put my credit card on hold as they assumed the motorbike security deposit was some weird form of credit card fraud, was the order of the evening.
I was up bright and early the next morning as I had a big Sunday in front of me, only to find that it was still dark until about 7:30am. The temperature had dropped from mid-twenties the previous afternoon to less than nothing overnight, with a thick layer of ice on the bike needing removal. A trick that I’d first learned in Tasmania is that any form of maxed-out credit card, rarely used frequent flyer card, or on this occasion hotel door card also backs up as a great universal scraping tool, which got virtually all the ice off the motorbike seat before its platonic reunion with my seat.

A quick trip into Bryce Canyon was planned, this turned out to be a lot quicker than planned because the fee to get into the National Park was US$30, and given the length of the day I couldn’t afford to be there for more than half an hour. Although it was completely against my philosophy of “when you’re there, see it”, I just didn’t think I’d do it justice, so decided to press on. I did not regret my decision as the next 123 miles was one inspirational vista after another. The route 12 sits on the northern side of the Grand Canyon plateau, and so rivers flowing into the Colorado River and the weather have carved spectacular shapes and canyons out of the rock.
The road travelled east and north through the inappropriately named Tropic (temperature 1°, humidity 0%), then Escalante, and there must have been about a million Harleys using it. There are often disparaging remarks made about riders not waving in Australia, particularly Harley riders. However, being able to ride with the clutch hand on the inside means that motorcyclists in the US have a permanently free hand to do all the waving they want without losing speed or control, I doubt I passed a single rider all weekend without receipt of at least a V for victory salute. Hiring Harleys and riding route 12 was obviously popular, with a group of Japanese riding enthusiasts telling me they were BMW riders back home as they struggled to manoeuvre their enormous hogs about the car park overlooking some spectacular vista.

The final town along the route was Boulder, where I coincidentally bought my first motorcycle, except it was a different country, state, and Boulder. The road continued to climb all the while, with fabulous scenes over the canyons permanently on the right hand side. The land in the area had only been settled about 140 years earlier by the Mormon families moving in from the north in wagon trains, with a lot of resistance from the Ute, Southern Paiute, and Navajo Indians in the southern areas of the state. The landscape added a lot of challenge to the settling process, the plateaus are quite traversable but the rivers are inconveniently right in the bottom of the steep sided canyons. It is also a lot higher than is expected from the landscape, with much of the rim of the Grand Canyon higher than anywhere in Australia.

The final leg of route 12 ended in the town of Torrey after 123 miles of relentless photo opportunities, and the coffee shop was the stopping point for a bunch of sports bike riders who seem to be a very rare breed out in the countryside in the US. After a moment of concern in getting fuel in southern Utah, where it is probably easier in some towns to get a third missus than 91 octane on a Sunday, it was head north trusty BMW.
The trip back to Salt Lake City was initially through some classic cowboy country and then mainly interesting back highways and rural towns before the final hour of 80mph freeway madness. I must say that the Triumph Tiger 800XCx seat is more comfortable than the BMW, and the Tiger triple vibrates less and has cruise control which is priceless on long highway trips, otherwise the BMW is a fantastic bike and they are very comparable. I feel guilty writing this, but I think the BMW lower centre of gravity with the underneath fuel tank is probably beneficial for off-road and slow speed handling.

Although there is more of a weighting toward the riding rather than scenery in the best riding roads ranking system, route 12 still ranks in the top 10 in the US even without the really technical riding element. Although I rate some of our own scenery very highly and have seen the magnificence of the Chilean volcanos, route 12 and indeed just about everywhere in Utah seemed spectacular and it had been a great experience.
The 1000km weekend came to an end with a text to Rafael at Great Rides Utah who was conveniently ready to meet me back at the shop at any time. I had left on the Saturday morning with a recently healed ankle and very fragile confidence, and returned on Sunday afternoon feeling inspired by the scenery and well back into the zone, and ready to keep up with Cindy on a lot more riding adventures.